• 首页
  • 随便看看
  • 排行榜
  • 在线用户
  • 应用程序
  • 帮助
注册 | 登录
  • 用户  
    • 用户
    • 资讯
    • 日志
    • 相册
    • 群组
    • 问答
    • 活动
    • 分享
    • 投票
  • 首页
  • 我的家园
  • 社群
  • 资讯
  • 随便看看
  • 排行
  • 社区动态
  • 博客
  • 微博
  • 分享
  • 活动
  • 相册
  • 进入KQ188

注册

高博特

» 高博特的空间   » 高博特的所有日志
返回上一页
  • 日志阅读中...
  • 发表新日志
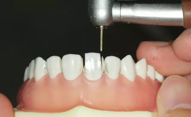
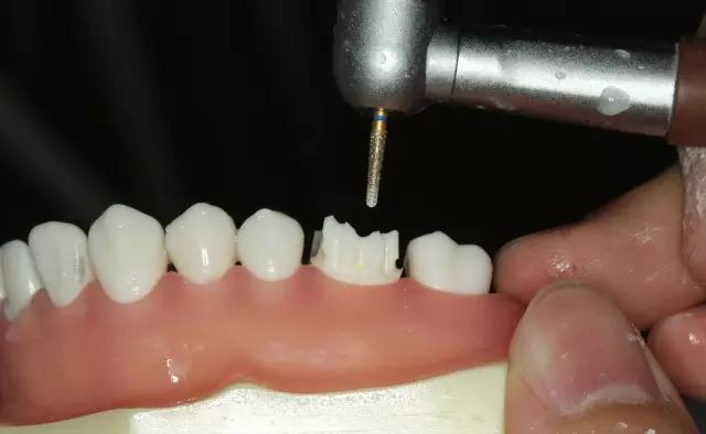
硅橡胶导板——牙体预备步骤详解分享
已有 4761 次阅读 |0个评论 | 2017-05-28 10:03:24

硅橡胶导板——牙体预备步骤详解

1、前牙硅胶导板制作2、硅胶导板标识线切割3、前牙牙体制备4.牙制备量5、后牙硅胶导板制作6、后牙牙体制备及制备量检查

0

他们来看过...


  • 狐牙网
    08月18日

  • 高博特
    06月17日

评论 我要评论

还没有评论

热点

  • • (图)下牙槽神经阻滞麻醉到底怎么打~超级实用的
  • • PFM备牙中排龈线的使用技巧
  • • 牙周篇-牙周再生手术及龈乳头保存术/林保莹
  • • 需要牢记的口腔修复学数字
  • • 荒唐! 爆医生护士间的潜规则[组图]
  • • [转] 临床上FC的使用
  • • 牙周篇-牙周再生手术/林保莹
  • • 套筒冠修复技术
  • • 转】 富牙医 穷牙医
  • • 医生和护士系列故事(二)
  • • 日本最近流行裸体婚礼:新人宾客全身赤裸,太重口味了,真正的裸婚时代!
  • • 三个故事说穿了许多人
  • • 口腔笑话
  • • (小窍门)如何处理模型破损、印模边缘不到位
  • • 根管治疗心得

注册 | 登录 | 找朋友 | 同城网友 | 邀请朋友 | 隐私设置 | 亚太口腔医学网 | 口腔淘宝 | 帮助中心 | 给管理员留言

Copyright © 2011 www.kq188.com,亚太口腔医学网 All Rights Reserved powered by JuSNS3.0.0